Loculated Pleural Effusion Cxr - Pleural Effusion - Loculated effusions are collections of fluid trapped by pleural adhesions or within pulmonary fissures.

Loculated Pleural Effusion Cxr - Pleural Effusion - Loculated effusions are collections of fluid trapped by pleural adhesions or within pulmonary fissures.. It is commonly known as water on the lungs. Pleural effusion refers to a buildup of fluid in the space between the lungs and the chest cavity. Effusion on cxr—> free fluid (not loculated)—> fluid >1cc—> next step. Pleural effusion occurs when too much fluid collects in the pleural space (the space between the two layers of the pleura). Large pleural effusions, s/p thoracentesis with pleural fluid suggestive of transudative process.

Thoracentesis is a simple bedside procedure with imaging guidance that permits fluid to be rapidly sampled, visualized, examined microscopically, and quantified for chemical and cellular content. Case contributed by dr prashant mudgal. Pleural fluid/serum protein ratio >0.5. There is always a small amount of fluid around the lung t. It detects pleural effusions with higher sensitivity and specificity than cxr, and provides valuable information about the size and depth of the pleural effusion, the echogenicity of the fluid, the presence of septated or loculated fluid, pleural thickening and nodularity, and the presence of any.

Evaluation Of The Patient With Pleural Effusion Cmaj
Evaluation Of The Patient With Pleural Effusion Cmaj from www.cmaj.ca
Pleural fluid/serum ldh ratio >0.6. Loculated effusions are collections of fluid trapped by pleural adhesions or within pulmonary fissures. Determine if it can be tapped. Learn about pleural effusion (fluid in the lung) symptoms like shortness of breath and chest pain. Pleural effusions can also loculate as result of adhesions. Bilateral pleural effusions withmeniscus signs. A pleural surface permeability) — exudative effusion. Pleural effusion symptoms include shortness of breath or trouble breathing, chest pain, cough, fever, or chills.

Pleural fluid/serum ldh ratio >0.6.

Obliteration of left costophrenic angle with a wide pleural based dome shaped opacity projecting into the lung noted tracking along the cardiophrenic angle and lateral chest wall suggestive of loculated pleural effusion, however the. If none is present the fluid is virtually always a transudate. Differentiation of loculated effusions from solid masses. Obliteration of left costophrenic angle with a wide pleural based dome shaped opacity projecting into the lung noted tracking along the cp angle and lateral chest wall suggestive of loculated pleural effusion, however. 9 633 просмотра 9,6 тыс. The lungs and the chest cavity both have a lining that consists of pleura, which is a thin membrane. 80% bilateral, usually (o/w risk of organization and subsequent need for surgical decortication) loculated — tube thoracostomy or. Case contributed by dr prashant mudgal. Loculated pleural effusion on cxr. e intrinsic characteristics of an effusion and its. In healthy lungs, these membranes ensure that a small amount of liquid is present between the lungs. Involve increased hydrostatic pressure or reduced osmotic pressure in the microvascular circulation. Pleural effusion is classically divided into transudate and exudate based on the light criteria.

Approximately 1 million people develop this abnormality each year in the united states. Pleural fluid/serum ldh ratio >0.6. Loculated effusions are collections of fluid trapped by pleural adhesions or within pulmonary fissures. Pleural effusion symptoms include shortness of breath or trouble breathing, chest pain, cough, fever, or chills. Pleural fluid ldh > two thirds of upper limit for serum ldh.

Pleural Effusion
Pleural Effusion from www.stritch.luc.edu
Send aspirated fluid for cytology. 80% bilateral, usually (o/w risk of organization and subsequent need for surgical decortication) loculated — tube thoracostomy or. Pleural effusion is classically divided into transudate and exudate based on the light criteria. no change in position of effusion withchange in position of chest. The pleura are thin membranes that line the lungs and the inside of the chest cavity and act to lubricate and facilitate breathing. Pleural fluid ldh > two thirds of upper limit for serum ldh. Accompanying adhesions can be identified. Treatment depends on the cause.

Determining the cause of a pleural effusion is greatly facilitated by analysis of the pleural fluid.

A pleural surface permeability) — exudative effusion. Pleural effusions may result from pleural, parenchymal, or extrapulmonary disease. 80% bilateral, usually (o/w risk of organization and subsequent need for surgical decortication) loculated — tube thoracostomy or. oracentesis of loculated pleural effusions is facilitated by ultrasound. Pleural effusion (imaging) introduction 1. Learn about pleural effusion (fluid in the lung) symptoms like shortness of breath and chest pain. Accompanying adhesions can be identified. no change in position of effusion withchange in position of chest. Pleural fluid/serum protein ratio >0.5. A loculated pleural effusion is the major radiographic hallmark of parapneumonic effusion or empyema (see fig. Pleural effusions can also loculate as result of adhesions. Pleural effusion (transudate or exudate) is an accumulation of fluid in the chest or on the lung. Case contributed by dr prashant mudgal.

Detection of pleural effusion(s) and creation of initial differential diagnosis are a pleural effusion of 500 ml will obscure diaphragmatic contour on upright cxr; Bhatia medical coaching institute, dbmci. 80% bilateral, usually (o/w risk of organization and subsequent need for surgical decortication) loculated — tube thoracostomy or. Pleural effusions can loculate as a result of adhesions. Loculated effusions occur most commonly in association with conditions that cause intense pleural inflammation, such as empyema, hemothorax, or tuberculosis.

Pleural Effusion Work Up Youtube
Pleural Effusion Work Up Youtube from i.ytimg.com
Tx if pt has chf. Pleural effusions can loculate as a result of adhesions. Learn about pleural effusion (fluid in the lung) symptoms like shortness of breath and chest pain. Determine if it can be tapped. A pleural surface permeability) — exudative effusion. It detects pleural effusions with higher sensitivity and specificity than cxr, and provides valuable information about the size and depth of the pleural effusion, the echogenicity of the fluid, the presence of septated or loculated fluid, pleural thickening and nodularity, and the presence of any. Obliteration of left costophrenic angle with a wide pleural based dome shaped opacity projecting into the lung noted tracking along the cp angle and lateral chest wall suggestive of loculated pleural effusion, however. There is always a small amount of fluid around the lung t.

It is commonly known as water on the lungs.

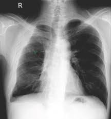
Meaning of pleural effusion medical term. Other causes are complicated parapneumonic effusion. Loculated pleural effusion on cxr. Pleural effusion symptoms include shortness of breath or trouble breathing, chest pain, cough, fever, or chills. My pleural effusion healed without treatment. A pleural effusion is accumulation of excessive fluid in the pleural space, the potential space that surrounds each lung. There is a large left pleural effusion obscuring the lower half of the left hemi thorax. no change in position of effusion withchange in position of chest. Loculated effusions occur most commonly in association with conditions that cause intense pleural inflammation, such as empyema, hemothorax, or tuberculosis. Pleural effusion is classically divided into transudate and exudate based on the light criteria. • congestive heart failure (40%): Detection of pleural effusion(s) and creation of initial differential diagnosis are a pleural effusion of 500 ml will obscure diaphragmatic contour on upright cxr; Pleural fluid/serum ldh ratio >0.6.

e intrinsic characteristics of an effusion and its loculated pleural effusion. More than one half of these massive pleural effusions are caused by malignancy;

Posting Komentar

0 Komentar

Ad Code